Advance Safety with
Features that Support
Patient-Centric Care

Reduce Extravasations

Saline advance allows for the use of
saline to test patency and vein integrity

• Delivered via pendant switch or key
  on the injector at the patient's side
  prior to starting the procedure

Saline Advance is helpful; my technologists find it helpful to test the IVs beforehand to see, can it handle this pressure without an extravasation... the tech can go ahead and use the saline advance in order to determine if it will work for the whole contrast injection. If it can’t handle that pressure with advance then they need different access.

—Stanley Weinstein, MD
Poudre Valley Hospital

Eliminate Excess Contrast

Saline jump allows for the immediate advancement,
or “jump” to saline in order to:

• Reduce the programmed contrast media dose1,2

• Reduce potential of iodine-based kidney stress3

[Saline Jump] Especially with pulmonary embolism studies, the ability to shut down the contrast injection and be able to push saline if the scan is already completed and you have opacification, there is no reason to inject the full bolus, that will reduce the amount of contrast a patient gets, and theoretically reduce the risk of contrast induced nephropathy, as well as potentially reduce the amount of contrast injected before we start the exam.”

—Stanley Weinstein, MD
Poudre Valley Hospital

The Clinical Benefits of
Controlled Saline Administration
(Post-Contrast Injection)

Post-medication injection IV maintenance

• Consistent with post-medication delivery
   standards of care1

• Support patient hydration2

Reduce Embolism Risk

Tilt sensor and lock reduces risk of air
embolisms by monitoring the injector
head position to safely deliver contrast

Detect Extravasations

Extravasation Detection Accessory
(EDATM) assists in the detection of a
possible extravasation by notifying the
user and pausing the procedure if a
clinically significant variation occurs*

*EDA is designed to aid in the detection of extravasations and is not intended as a
substitute for proper patient monitoring and good clinical practice.

Greater Control Where
You Need It

Pendant switch allows you to
start, stop, and pause injections
right by the patient’s side

Variable Flow Rate

Variable flow rates let you adjust
contrast and saline flow as needed

Evaluate Kidney Function

The GFR Calculator is intended to assist the facility in
determining whether a patient's renal function allows
for the administration of intravenous (IV) contrast.*

eGFR = estimated Glomerular Filtration Rate

*eGFR is not intended to act as a substitute for a physician's diagnosis of conditions, which may
 preclude the administration of IV constrast or the patient's ability to accept the procedure.

Increase Efficiency with
Innovative Designs that
Streamline Workflow

Prep Syringes

Auto initialization: The most
efficient way to prepare
syringes for filling

Automatically Fill Syringes

Protocol fill automatically fills syringes to
volumes based on the selected protocol

Prime for Injection

Purge to line feature easily
purges the saline and contrast
so the injector is ready

Automatically Select
Patients From Worklist

NEXO® Contrast Management System
provides access to Modality Worklist
to accurately combine patient data
and contrast delivery parameters

Share DICOM Enterprise-Wide

With the NEXO® Contrast Management System,
you can automatically capture and send contrast
injection reports and post-procedure reports as
DICOM secondary captures to PACS, EMR and
voice dictation enterprise-wide

Enhance Image Quality
and Simplify Procedures
with Intelligent Protocols

EmpowerSync®

EmpowerSync allows for
interoperability between
contrast delivery systems
and CT scanners*

EmpowerSync is a registered trademark of Bracco Injeneering S.A.
* Please work with your local specialist for compatibility with your specific scanner.

Standardize Protocols

NEXO® Contrast Management System
allows you to access more than 100
unique protocols*

*These protocols have been independently developed and are not intended as medical advice and
BRACCO and ACIST shall not be responsible for any physicians’ reliance on these or any other protocols.

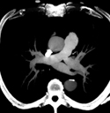
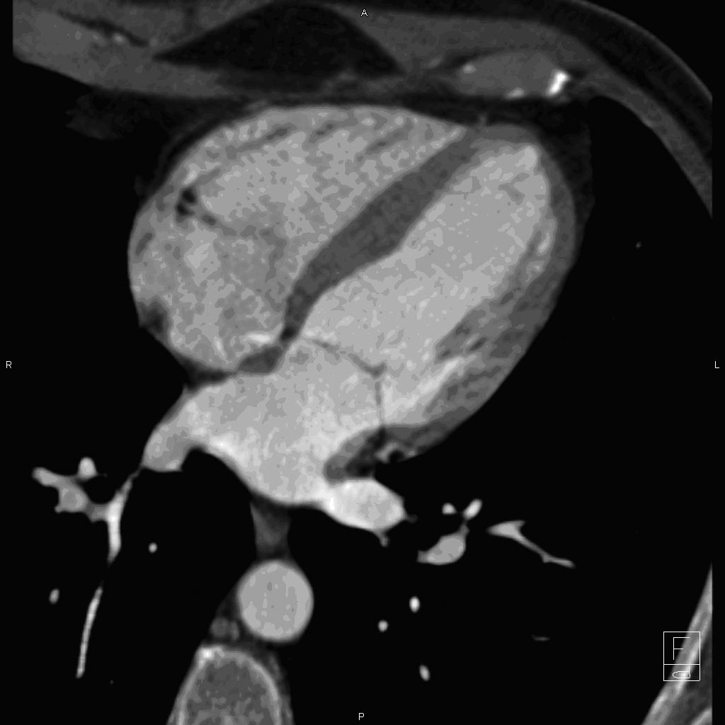
Maximize the Quality
of a Cardiac CT Study

The combination of Empower Phasing
Protocol (EPPTM) and the injector system
allows dual syringes to alternate between
contrast and a saline chase to help
maximize the quality of a cardiac CT study

1
2
3
Image 1 courtesy of Suhny Abbara, MD, Assistant Professor, Harvard Medical School, Director, Cardiovascular Imaging, Massachusetts General Hospital, Director of Education, Cardiac MR/PET/CT Program Image 2 and 3 courtesy of Orla Buckley MD, Andetta Hunsaker MD and Frank Rybicki MD, Brigham and Women's Hospital, Applied Imaging Science Laboratory, Department of Radiology
These are representative images from reference studies; individual results may vary.
EPP is a trademark of ACIST Medical Systems, Inc.

EPPTM Injection Protocol

Improve Compliance, Data
Gathering, and Productivity with
Contrast Management Solutions

DICOM with RIS/PACS
and EMR Integration

NEXO® Contrast Management System
makes it easier than ever to keep
records up to date with contrast
injection and post-procedure reports

Key Performance
Indicators (KPIs)

NEXO® Contrast Management System allows
you to automatically track and report
resource utilization across facilities to help
improve workflow and boost productivity

Customized Filters

NEXO® Contrast Management System allows
you to establish enterprise-wide benchmarks,
perform audits, and manage metrics

Standardize
Documentation

NEXO® Contrast Management System
helps provide standardized documentation
and reporting with RIS/PACS, Dictation and EMR

The individuals who appear are for illustrative purposes only.
All persons depicted are models and not real health care professionals.
Important Safety Information References
Important Safety Information

EmpowerCTA®+ Injector System

INDICATIONS:

The EmpowerCTA®+ Injector System is indicated for the vascular administration of contrast and flushing media in conjunction with computed tomography (CT) scanning of the body with an
optional interface to a CT scanner and an optional calculator for glomerular filtration rate (GFR).

The Extravasation Detection Accessory (EDATM) is an optional accessory and is indicated for the detection of extravasations of
ionic and nonionic contrast during CT procedures using a power injector.

CONTRAINDICATIONS:

The EmpowerCTA+ Injector System is not intended for use as a long-term infusion pump, nor is it intended to be used to inject any agents other than
contrast or flushing media. Do not attempt to use the Injector for any other purpose (such as chemotherapy or drug infusion). The EmpowerCTA+ Injector System should
not be used to inject substances into nonvascular body cavities. Any applications of the EmpowerCTA+ Injector System other than those described in its Operator Manual are inappropriate
and should not be attempted.

Protocols have been independently developed and are not intended as medical advice. Bracco and Bracco Injeneering S.A. shall not be responsible for any physicians’ reliance on these or
any other products.

Not all products available in all global markets.

EmpowerCTA+ is distributed by Bracco Diagnostics Inc., 259 Prospect Plains Road, Bldg. H, Monroe Township, NJ 08831 USA; Phone: (800) 631-5245; Fax: (609) 514-2424.

EmpowerCTA+ is manufactured by Bracco Injeneering S.A., Avenue de Sevelin 46, CH–1004 Lausanne, Switzerland. https://imaging.bracco.com

Customer Service: 1-877-BRACCO 9 (1-877-272-2269)

Professional Services: 1-800-257-5181, Option 2

EmpowerCTA+ Email: empowerinfo@diag.bracco.com

About Bracco Injeneering S.A.

Bracco Injeneering S.A., located in Lausanne, Switzerland, is the most recently added Business Unit of Bracco Imaging. Bracco Injeneering is committed to develop the best-in-class integrated
injection solutions with a strong heritage in research and innovation. It provides quality solutions for state-of-the-art radiology centers, offering proven injection technology, built
on Bracco Imaging’s expertise.

Thanks to this strengthened product portfolio, including the CT Exprès® 3D Contrast Media Delivery System, EmpowerCTA+ Injector System, EmpowerMR® Injector System, NEXO®

Contrast Management System and NEXO [DOSE]® Multi-Modality Radiation Informatics, Bracco Imaging will be able to focus on constant innovation, not only for devices, but also for
software development and data management.

CT Exprès, EmpowerCTA, IRiSCT, EmpowerMR, EmpowerSync, NEXO and NEXO [DOSE] are registered trademarks of Bracco Injeneering S.A.
EDA is a trademark of Bracco Injeneering S.A.

NEXO® Contrast Management System

Intended Use:

NEXO® Contrast Management System is a server-based application intended to be used as a data-management and visualization system. NEXO Contrast Management System is able to read, store, share, compare/relate, as well as graphically display data and injection programs coming from RIS, PACS and multiple enabled EmpowerCTA® Injector Systems. It provides the users with record-lists, graphics and reports about data and performances.

This device is intended for retrospective and statistical data management and visualization. It is not intended for real time data visualization, diagnostic applications or for any other use for which the device is not indicated. This device is only to be operated by and under quasi-continuous supervision of qualified and trained staff in an appropriate licensed healthcare facility.

NEXO Contrast Management System is compatible with the EmpowerCTA® Injector System version 8.0, and the EmpowerCTA®+ Injector System version 9.0 and higher.

Bracco Injeneering S.A. reserves the right at any time and without notice, to change the specifications and features described herein, or to change the production or adjust the product described.

Not all products available in all global markets

NEXO is distributed by Bracco Diagnostics Inc. 259 Prospect Plains Road, Building H, Monroe Township, NJ 08831 USA; Phone: (800) 631-5245; Fax: (609) 514-2424.

NEXO Customer Service: 1-877-BRACCO 9 (1-877-272-2269)

NEXO questions: Nexo.Answers@diag.bracco.com

NEXO U.S. Technical Service and Support: Phone: 888-670-7701; Fax: 609-514-2448;

NEXO Email: customer.support@acistmedical.com

NEXO is manufactured by Bracco Injeneering S.A., Avenue de Sévelin 46, CH-1004 Lausanne, Switzerland. https://imaging.bracco.com

About Bracco Injeneering S.A.

Bracco Injeneering S.A., located in Lausanne, Switzerland, is the most recently added Business Unit of Bracco Imaging. Bracco Injeneering is committed to develop the best-in-class integrated injection solutions with a strong heritage in research and innovation. It provides quality solutions for state-of-the-art radiology centers, offering proven injection technology, built on Bracco Imaging’s expertise.

Thanks to this strengthened product portfolio, including the CT Exprès® 3D Contrast Media Delivery System, EmpowerCTA®+ Injector System, EmpowerMR® Injector System, NEXO Contrast Management System and NEXO [DOSE]® Multi-Modality Radiation Informatics, Bracco Imaging will be able to focus on constant innovation, not only for devices, but also for software development and data management.

CT Exprès, EmpowerCTA, EmpowerMR, NEXO and NEXO [DOSE] are registered trademarks of Bracco Injeneering S.A.

Go to: imaging.bracco.com/us-en

Bracco Diagnostics Inc.

259 Prospect Plains Road, Building H

Monroe Township, NJ 08831 USA

Phone: 609-514-2200

Toll Free: 1-800-631-5245 (U.S. only)

Fax: 609-514-2424

References